News
Auckland FC turn up heat in training to beat Australian temperatures
Raincoats under sunny skies and hours in the sauna help Auckland FC prepare for hot temperatures during A-League games in Australia.
Auckland FC call on several captains
Auckland FC have lost leaders to injury this A-League season but the situation has a silver lining.
Prize money motivating Breakers in tough NBL season
The Breakers knew very little about the Australian NBL's latest innovation - now it is the club's only realistic chance of silverware this season.
'Healthy' A-League club Auckland FC worried for opposition
A-League leaders Auckland FC are concerned about the ongoing off-field health of the competition.
Top of the table at Christmas, no place Auckland FC would rather be
Auckland FC's last A-League game of 2025 will cap off a calendar year many clubs could only dream of.
NZ's football future: More A-League clubs, diverse participation and financial stability
New Zealand Football plans to double its revenue and the number of NZ-based A-League teams in the next decade.
Auckland FC striker getting better protection
A-League opposition have been "ganging up" on Auckland FC's Sam Cosgrove and his coach says refs are now taking notice.
In-form Breakers target top four at NBL mid-point
At the mid-season mark in the Australian NBL, the NZ Breakers are on the up but "can't fool ourselves that we are better than we are".
Svitolina to Boulter: The ASB Classic women's tennis field
A seven-time Grand Slam champion, an Olympic medallist and the Philippines' first top 50 player will take the court in Auckland in the new year.
'We need to prepare better', says Auckland FC coach after penalty misses
It took Auckland FC 35 games in the A-League to be awarded a kick from the penalty spot. Then they had two failed attempts in the space of eight minutes.
'The whole world stops': Delegation heads to FIFA World Cup draw
New Zealand Football chief executive Andrew Pragnell and All Whites coach Darren Bazeley are on an important mission in North America this week.
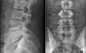
The Kiwi surgeon repairing international cricketers' backs
When an Australian or Indian bowler suffers a spine injury, they call Dr Rowan Schouten.
Unbeaten Auckland FC rethink training before meeting last-placed rivals
The Black Knights have dialled back training, after their "disappointing" A-League draw.
Tall Blacks' familiar foes first challenge in World Cup cycle
Tall Blacks want to "remember who we are" as World Cup cycle tips off against greatest rivals.
'More goals this year': Forward May sets bold target for Auckland FC
The A-League outfit set a competition scoring record during its 2024/25 debut campaign.
All Whites coach interested in learning football's 'dark arts'
"Crafty" Colombians could give All Whites a lesson on playing on the "edge" of the rules.
Understrength All Whites not intimidated by Colombia
All Whites "not short of belief" ahead of substantial pre-Football World Cup test against Colombia.
Wellington Phoenix players happy but fans stay away
The Wellington Phoenix were among the least supported clubs in the A-League Women - losing more than half of their attending fans last season.
Where will New Zealand's next national team coaches come from?
Analysis - Former players, assistants promoted to the top job, or someone out of leftfield. Sports have options when looking for their national team coach.
Rain keeps White Ferns batters on ice ahead of must-win World Cup game
White Ferns batters have been sneaking in extra net sessions after two washed out Cricket World Cup games.
'None of us like a quota': New America's Cup sailor Jo Aleh
Jo Aleh will be Team New Zealand's mandated female sailor in 2027, a role that comes on the back of driving in the Women's America's Cup.
Coach Koponen wants 'sloppy' Breakers to keep ANBL focus
With one win in six games, the Auckland-based team are feeling the pressure to start achieving results.
A-League: Auckland FC , Wellington Phoenix sights set on silverware
The 21st edition of the A-League kicks off after a tumultuous off-season with two New Zealand teams chasing silverware for the second season in a row.
All Whites v Norway: What you need to know
All Whites to face understrength Norway to close out October international window in Oslo
Breakers' Parker Jackson-Cartwright is 'being myself ' with coach's encouragement
Watch out NBL, Breakers guard Parker Jackson-Cartwright is on his way back to his best.