One in six people worldwide will suffer a stroke at some point in their lives, and a common effect is a loss of function in the arms and hands. Upper limb impairment can interfere with independence and quality of life, and although no two strokes are alike, most patients with similar conditions are grouped together to undergo rehabilitation. But a new clinical algorithm being developed at the Centre for Brain Research at Auckland University may change all that. By applying a simple test in the first three days after a stroke, it is now possible for therapists to accurately predict a patient’s potential for recovery and to then tailor an individual rehabilitation plan to achieve it.
The results of an initial trial of the algorithm have been published in the neurology journal Brain and presented at conferences abroad. Justin Gregory talks to Winston Byblow and Cathy Stinear about the new algorithm and where the next stage of research may go. But the story begins at Auckland City Hospital with physiotherapist Marie-Claire Smith, who explains the existing procedures for rehabilitating stroke patients.

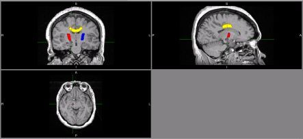
These images are of an MRI brain scan of someone who recently experienced a stroke. The stroke is the small dark area, under the green crosshairs. The top left image is looking at the person from the front; top right is looking at them from the side; lower left is looking up at them from their feet. The area coloured yellow is the corpus callosum, a thick bundle of connections between the two sides of the brain. The areas coloured red and blue are the posterior limbs of the internal capsules. These contain connections that carry movement commands from the surface of the brain to the spinal cord. Notice that the stroke affects the border of the red internal capsule, and this resulted in severe arm and leg weakness on the opposite side of the body. (Images courtesy of the Centre for Brain Research at the University of Auckland)